• 인쇄
  • 전송
  • 보관
  • 기사목록

국립김해박물관, 국내에 하나뿐인 삼국시대 상감명문대도 CT / X-ray 분석으로 판독 해결

35년간 논란이 됐던 명문, 과학으로 읽었다

  •  

cnbnews 안용호⁄ 2025.11.17 11:39:50

창녕 교동 11호분 명문대도. 사진=국립김해박물관
창녕 교동 11호분 출토 명문대도 X-선 사진(글자 위치). 사진=국립김해박물관

국립김해박물관(관장 윤형원)은 창녕 교동 11호분에서 출토된 상감명문대도(象嵌銘文大刀)를 재조사하여 그동안 논란이 됐던 글자를 ‘上[部]先人貴常刀’로 재판독하였다.

창녕 교동 11호분은 봉토 직경이 28m가 넘는 5~6세기 가야 지배층의 무덤으로 가야 무덤 중에서는 보기 힘든 대형분이다. 1918년 일본인 야쓰이 세이이쓰[谷井濟一]에 의해 발굴되었으며, 금상감명문대도를 비롯하여 용·봉황 무늬 고리자루 큰 칼, 금동관, 금동제 나비모양 관장식, 은제허리띠 등 금속 유물이 쏟아져나와 일찍이 학계의 많은 주목을 받았다.

상감명문대도는 칼 표면에 홈을 내고 그 안을 금실 혹은 은실로 채워 글자를 새긴 큰 칼로, 삼국시대 제작품은 3점만 전할 정도로 희귀성이 높은 문화유산이다. 상감기법으로 글자를 새긴 삼국시대 칼로는 국내에 유일하며, 국립김해박물관이 소장하고 있다. 다른 2점은 일본 이소노카미신궁의 금상감 칠지도(七支刀)와 동경국립박물관의 은상감 유명환두대도(有銘環頭大刀)이다.

명문대도에 대한 판독은 국립김해박물관의 기획과 분석, 국립중앙박물관 보존과학센터의 지원, 인문학 자문위원들의 검증으로 다음과 같이 정리되었다.

“명문은 총 7자(字)로 확정할 수 있으며, 현 단계에서는 「上[部]先人貴常刀」로 판독하는 것이 적절하다.”

이번 연구의 주요 성과로는 첫 번째 글자의 나머지 획을 재발견하여 ‘上’으로 확정한 것, 6번째 글자의 주변을 정밀 분석하고, 숨은 획을 새로이 찾아 ‘常’을 제시한 것, ‘乃’가 아니라 ‘刀’로 읽어야 하는 이유 등을 증빙한 것이다. 이것은 35년간 이어진 판독 논란을 정리함으로써 상대적으로 문자 자료가 희박한 가야사 연구에 새로운 국면을 마련하였다는 점에서 의미가 크다.

X-선 촬영으로 새로 확인된 1번 글자 ‘上’ (원래의 위치에서 이탈). 사진=국립김해박물관
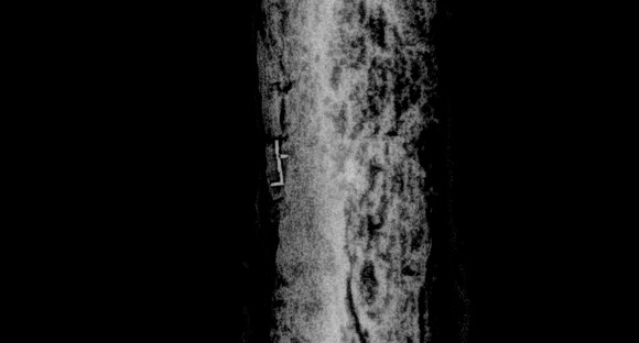
7번 글자‘刀’의 X-선 CT 단층사진. 사진=국립김해박물관

이 칼의 상감 명문은 1984년 보존처리 과정에서 처음 확인되었으며, 명문의 표출은 1990년에 진행되었다. 발견 직후부터 지금까지 국내외 학계의 상당한 관심을 불러온 유물로, 한국 고대사 연구에 있어 매우 귀중한 자료로 평가받고 있다. 


발견 당시의 성과는 7글자의 명문을 ‘[上]咅先人貴[△][刀]’로 판독해낸 것이었다. 더불어 비교적 판독이 수월했던 ‘咅先人貴’외 ‘[上][△][刀]’ 3글자의 판독은 다음과 같은 한계에 노출되었다. 첫 번째 글자 ‘[上]’은 문맥에 의한 추정이었고, 여섯 번째 글자는 사라진 획이 많아서 아예 읽지 못하였다. 마지막 글자 ‘[刀]’는 ‘乃’일 가능성도 함께 제시되었다.

그동안 창녕 교동 11호 명문대도와 관련한 다양한 연구가 있었다. 판독의 경우‘[上]’ 이 아닌 ‘[下]’일 가능성, ‘咅’를 ‘部’의 약자로 보는 것에 반대하는 의견, 여섯 번째 글자 ‘[△]’를 ‘[賞]’으로 판독, 7자가 아니라 8자일 수 있다는 가능성도 제시되었다.

명문의 뜻풀이에서는 ‘先人’을 고구려의 관등으로 보고, 칼의 주인과 고구려를 연결 짓는 시도 등이 있었으며, ‘先人’을 선조先祖로 해석하고 명문의 내용은 길상구로 보인다는 의견도 제시되었다.

국립김해박물관은 󰡔창녕 교동 11호분󰡕 발굴보고서를 준비하면서, 국립중앙박물관 보존과학센터의 지원으로 CT(컴퓨터 단층촬영 Computed Tomography) 촬영을 시도하였다. CT는 X선을 여러 각도에서 촬영하여 컴퓨터로 재구성하는 장비로 3차원 이미지 구현이 가능하다. 또한, 2차원 X-선 이미지를 뛰어넘어 3차원 데이터와 단면 정보를 확보할 수 있어 기존에 논란이 됐던 명문을 새롭게 검토하는 계기가 되었다.

'창녕 교동 11호분' 보고서에서 조사연구 결과 종합적으로 공개예정

現)명문대도 금상감 글자 ‘上[部]先人’. 사진=국립김해박물관

이번 조사연구의 결과는 25년 12월 12일(금) 국립중앙박물관 교육관 소강당에서 개최하는 “국립박물관 소장 연대 결정 자료의 새로운 이해”심포지엄에서 “과학적 분석을 이용한 창녕 교동 11호분 출토 명문대도의 재판독”이라는 주제로 소개될 예정이다.

또한, 조사연구 결과는 25년 12월 발간하는 '창녕 교동 11호분' 발굴보고서에 자세히 실리며, 실물은 2025년 11월 30일까지 상설전시실에서 특별공개할 예정이다. 이후 상감명문대도에 대한 보존처리를 진행하여 26년 상반기 특집전을 통해 공개할 예정이다.

국립중앙박물관은 2013년부터 전국의 일제강점기 조사자료 정리사업을 진행하고 있다. 국립김해박물관은 2015년부터 관련 사업의 일환으로 1918년 이후 일본 고고학자 야쓰이 세이이쓰[谷井濟一]가 발굴조사하였으나, 정식 기록을 남기지 않은 창녕 교동 유적의 보고서를 재발간하고 있다. 국립김해박물관은 '창녕 교동 7호분', '창녕 교동 10호분', '창녕 교동 89호분', '유리건판으로 본 창녕 고분군' 등을 발간한 바 있으며, 2025년 말에는 '창녕 교동 11호분'의 보고서를 간행할 예정이다.

 

<문화경제 안용호 기자>

관련태그
국립중앙박물관  국립김해박물관  상감명문대도

배너
배너

많이 읽은 기사

배너
배너
배너
배너
배너
배너
배너
배너
배너
배너
배너
배너
배너
배너
배너
배너
배너
배너
배너
배너
배너
배너
배너